martes, 25 de febrero de 2014

CONCEPTO BRUXISMO



BRUXISMO Y OCLUSIÓN  TRAUMÁTICA


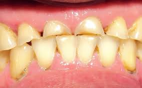
El bruxismo (del griego bryxo, rechinar los dientes) hace referencia al hábito que se caracteriza por hiperfunción muscular masticatoria que lleva al apretamiento y alteración de la relación oclusal. Las superficies oclusales se aplanan, los bordes incisales se desgastan y las guías para los movimientos posteriores del maxilar inferior, lo mismo que para los movimientos anteriores, se alteran considerablemente.

Ramfjord y Ash (1983) anotan: "El término bruxismo se deriva del francés bruxomanie". Forman en 1931, fue tal vez el primero en utilizar la palabra bruxismo para designar apretamiento y rechinamiento de los dientes con propósitos no funcionales.

Miller sugirió que se hiciera una diferenciación entre el hábito de rechinar los dientes por la noche, que él llamó bruxismo y al hábito de rechinar los dientes durante el día, lo denominó       bruxomanía. La tendencia apretar y rechinar los dientes asociados con coraje o
    agresión ha estado ligado a situaciones de tensión.

Así, el bruxismo es un hábito que desarrolla el paciente, especialmente durante la noche y se piensa que tiene un componente de estrés muy importante.

El tipo de bruxismo más severo es el nocturno, pero muchos individuos rechinan sus dientes durante el día cuando están en situación de estrés.

Éste hábito se considera como una actividad parafuncional que se desarrolla durante el sueño. Consiste principalmente en apretamiento combinado con rechinamiento de los dientes causando lesiones destructivas en el sistema estomatognático. Como la hiperactividad funcional se relaciona directamente con la musculatura masticatoria, las lesiones producidas por el hábito se pueden apreciar en la articulación temporomandibular (ATM), en la misma musculatura masticatoria, en los tendones de inserción, en los dientes y en las estructuras periodontales de soporte. 

Los estudios han demostrado que durante el día, cuando el paciente voluntariamente aprieta los dientes, hay una relación especial muscular que rige los movimientos mandibulares. Esto quiere decir que dentro del bruxismo diurno hay un control consciente especial que rige la actividad muscular; en cambio, durante el bruxismo nocturno no existe este control, se ha pensado que durante éste opera principalmente el estrés emocional.

No hay comentarios:

Publicar un comentario

Entrada destacada

Principles of Bioethics

Thomas R. McCormick, D.Min., Senior Lecturer Emeritus, Dept. Bioethics and Humanities, School of Medicine, University ...